ЖЕЛЕЗИСТО-ЛИМФОИДНЫЕ ВЗАИМООТНОШЕНИЯ В ТОЛЩЕ ЯЗЫКА И В СТЕНКАХ ГЛОТКИ У ЧЕЛОВЕКА В ПОСТНАТАЛЬНОМ ОНТОГЕНЕЗЕ
https://doi.org/10.15789/1563-0625-2019-5-981-986
Аннотация
Статья имеет целью изучение железисто-лимфоидных взаимоотношений пищеварительного тракта в постнатальном онтогенезе и представляет особый интерес для клинической иммунологии. Макроскопическим и гистологическим методом нами исследованы слюнные железы, полученные от трупов 299 человек (язычные железы), начиная от новорожденных и до периода долгожительства, исследованы трупы представителей мужского и женского пола. Материал забирали в судебно-медицинских моргах Бюро СМЭ Департамента здравоохранения г. Москвы, что разрешено Постановлением Правительства РФ, Федеральный закон № 323, ст. 47, 4180-1, 355н. В фактический материал для исследования не включали случаи, когда при судебно-медицинском исследовании трупа выявляли патологические изменения пищеварительной системы. Микропрепараты (поперечные срезы) были окрашены гематоксилином-эозином и пикрофуксином по ван Гизону.
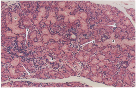
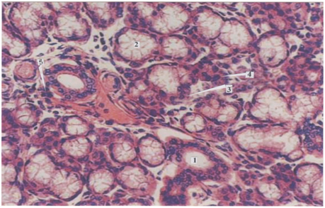
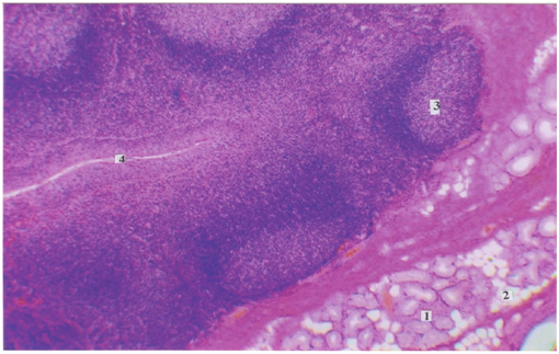
Малые слюнные железы, язычные и глоточные, располагаясь в толще языка и стенках глотки, выполняют важную эндокринную функцию – участвуют в обеспечении реакций местного иммунитета в ротовой полости. Множество публикаций посвящено регенеративным изменениям слизистой оболочки рта под действием секреторного иммуноглобулина А, который выполняет основную роль в регуляции местного иммунитета. В статье отражены важные аспекты возрастных изменений малых желез (язычных и глоточных). Характерная немногочисленность желез в детском возрасте обусловлена однотипностью питания в данном возрастном периоде, а снижение выработки секреторного иммуноглобулина А закономерно ведет к возникновению частых воспалительных процессов в полости рта и глотки. С возрастом устья желез расширяются и увеличивается их количество, что влечет за собой усиление местного иммунитета в ротовой полости и ротовой части глотки. Начиная с пожилого и старческого возраста наблюдаются инволютивные изменения, которые сопровождаются снижением выработки секреторного иммуноглобулина А и, соответственно, снижением показателей местного и гуморального иммунитета. Эти результаты полностью отражают топографические взаимоотношения желез с клетками лимфоидного ряда, и приведенные данные весьма актуальны для клинической иммунологии.
Ключевые слова
Об авторах
А. В. ОлсуфьеваРоссия
Олсуфьева Анна Викторовна, к.м.н., старший преподаватель кафедры анатомии человека
125009, Россия, Москва, ул. Моховая, 11, стр. 10.
Тел.: 8 (926) 396-52-24.
И. В. Бодрова
Россия
д.м.н., доцент кафедры лучевой диагностики и лучевой терапии
Москва
К. А. Васянина
Россия
к.м.н., старший преподаватель кафедры анатомии человека
Москва
С. С. Олсуфьев
Россия
студент 1 курса фармацевтического факультета
Москва
Список литературы
1. Базарный В.В., Веневская Е.А., Попова И.Г., Косарева О.В., Мандра Ю.В. Оценка секреторного иммунитета при герпетическом поражении полости рта // Клиническая лабораторная диагностика, 2015. № 7. С. 62-63.
2. Боровский Е.В., Леус П.А. Кариес зубов. М.: Медицина, 1979. 342 с.
3. Ибодов С.Т., Никитюк Д.Б. Макро-микроскопические характеристики железистого аппарата двенадцатиперстной кишки человека // Вестник Авиценны, 2011. № 1 (46). С. 102-105.
4. Калинина Н.М., Хмельницкая Н.М., Тырнова Е.В., Воробьев К.В., Алешина Г.М., Кокряков В.Н. Иммуноло гические механизмы хронического воспаления слизистой оболочки полости носа // Медицинская иммунология, 1999. Т 1, № 3-4. С. 37.
5. Караев З.О., Гасанова Ф.М. Местный гуморальный иммунитет у больных кандидозом слизистых оболочек полости рта и кандидоносителей // Проблемы медицинской микологии, 2008. Т. 10, № 3. С. 9-11.
6. Клочкова С.В., Алексеева Н.Т., Никитюк Д.Б., Кварацхелия А.Г. Макро-микроскопическая структурная характеристика желез глотки человека // Журнал анатомии и гистопатологии, 2016. Т. 5, № 3. С. 35-37.
7. Плявинь Л.А. Особенности топографии скоплений лимфоидной ткани в сенках пищевода человека в разные возрастные периоды. В кн.: Тез. докл. 14-й Всесоюзн. конф. по физиологии пищеварения и всасывания. Тернополь, 1986. С. 22-23.
8. Сапин М.Р., Никитюк Д.Б. Иммунная система, стресс и иммунодефицит. М.: Джангар, 2000. 184 с.
9. Сапин М.Р., Николенко В.Н., Чава С.В., Алексеева Н.Т., Никитюк Д.Б. Вопросы классификации и морфогенез малых желез стенок полых внутренних органов // Журнал анатомии и гистопатологии, 2013. Т. 2, № 1. С. 9-17.
10. Усманова А.М. К микроанатомической характеристике желез глотки человека // Медико-биологические проблемы Приднестровья: матер. науч.-практич. конф. Тирасполь, 2002. С. 35.
11. Четвертков В.С., Никитюк Д.Б., Швецов Э.В., Чава С.В. Структурные характеристики железистого аппарата двенадцатиперстной кишки мышей после облучения // Астраханский медицинский журнал, 2012. Т. 7, № 4. С. 266-270.
12. Шадлинский В.Б., Аллахвердиев М.Г., Мовсумов Н.Т., Гусейнова Г.А., Исаев А.Б., Хыдыров Э.Е., Гусейнов Б.М. Макромикроскопическая и микроанатомическая характеристика лимфоидных образований некоторых внутренних органов в постнатальном онтогенезе // Аллергология и иммунология, 2016. Т. 17, № 1. С. 45.
13. Щеплягина Л.А., Круглова И.В. Местный иммунитет: педиатру на заметку // Поликлиника, 2011. № 6. С. 100101.
Дополнительные файлы
|
1. Неозаглавлен | |
| Тема | ||
| Тип | Прочее | |
Скачать
(12KB)
|
Метаданные ▾ | |
|
|
2. Неозаглавлен | |
| Тема | ||
| Тип | Прочее | |
Посмотреть
(2MB)
|
Метаданные ▾ | |
|
3. Неозаглавлен | |
| Тема | ||
| Тип | Прочее | |
Скачать
(13KB)
|
Метаданные ▾ | |
|
4. Неозаглавлен | |
| Тема | ||
| Тип | Прочее | |
Скачать
(12KB)
|
Метаданные ▾ | |
|
5. Неозаглавлен | |
| Тема | ||
| Тип | Прочее | |
Скачать
(14KB)
|
Метаданные ▾ | |
|
|
6. Неозаглавлен | |
| Тема | ||
| Тип | Прочее | |
Посмотреть
(171KB)
|
Метаданные ▾ | |
|
|
7. Неозаглавлен | |
| Тема | ||
| Тип | Прочее | |
Посмотреть
(171KB)
|
Метаданные ▾ | |
|
|
8. Неозаглавлен | |
| Тема | ||
| Тип | Прочее | |
Посмотреть
(216KB)
|
Метаданные ▾ | |
|
|
9. Неозаглавлен | |
| Тема | ||
| Тип | Прочее | |
Посмотреть
(161KB)
|
Метаданные ▾ | |
|
|
10. Неозаглавлен | |
| Тема | ||
| Тип | Прочее | |
Посмотреть
(180KB)
|
Метаданные ▾ | |
|
|
11. Неозаглавлен | |
| Тема | ||
| Тип | Прочее | |
Посмотреть
(157KB)
|
Метаданные ▾ | |
Рецензия
Для цитирования:
Олсуфьева А.В., Бодрова И.В., Васянина К.А., Олсуфьев С.С. ЖЕЛЕЗИСТО-ЛИМФОИДНЫЕ ВЗАИМООТНОШЕНИЯ В ТОЛЩЕ ЯЗЫКА И В СТЕНКАХ ГЛОТКИ У ЧЕЛОВЕКА В ПОСТНАТАЛЬНОМ ОНТОГЕНЕЗЕ. Медицинская иммунология. 2019;21(5):981-986. https://doi.org/10.15789/1563-0625-2019-5-981-986
For citation:
Olsufieva A.V., Bodrova I.V., Vasyanina K.A., Olsufiev S.S. RELATIONSHIPS BETWEEN GLANDULAR AND LYMPHOID TISSUES IN HUMAN TONGUE AND PHARYNGEAL WALLS IN POSTNATAL ONTOGENESIS. Medical Immunology (Russia). 2019;21(5):981-986. (In Russ.) https://doi.org/10.15789/1563-0625-2019-5-981-986
JATS XML




































